



2022年新年伊始,一个来自金平县的脓毒血症、生命垂危的5龄童,收入红河州第三人民医院,经过多学科合作,成功救治患儿,5天病情好转后转回当地医院,随访至今,患儿已经康复。
2022年新年前夕,红河州第三人民医院耳鼻咽喉头颈外科接到金平县人民医院的紧急求助电话,一名仅5月龄的婴儿病情危重,在当地医院行CT检查,发现咽后间隙感染,患儿出现精神萎靡,呼吸困难,病情危重。红河州第三人民医院耳鼻咽喉头颈外科立即启动应急预案,提前联系儿科、ICU、手术室,研究治疗方案,做好接诊准备。
患儿抵达后,通过绿色通道,快速进入评估抢救流程。明确诊断:1.脓毒血症;2.咽后间隙脓肿;3咽旁间隙脓肿;4呼吸困难(2度)。遂快速送入手术室,通过经验丰富的麻醉医师充分评估,给予静脉麻醉、插管,保证患儿呼吸通道。耳鼻咽喉头颈外科经口腔检查,从咽后壁穿刺,抽出约20ml脓性分泌物,探查脓腔,引流出大量脓性分泌物,放置负压引流后转ICU,由儿科协助进行后续治疗,通过多学科通力合作,为重症婴儿恢复保驾护航,5天后,患者病情好转,转回当地医院。

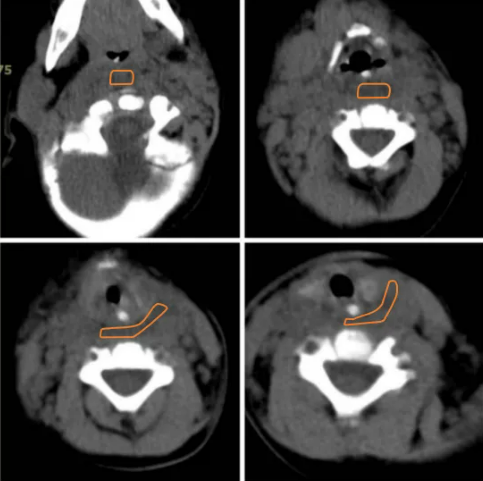
2021.12.28当地医院影像

2021.12.30治疗后影像
据悉,咽后脓肿 (retropharyngeal abscess)为咽后隙的化脓性炎症,因发病机制不同,分为急性与慢性两型;急性型较为常见,占94.8%,为咽后淋巴结急性化脓所致,多发生于3个月至3岁的婴幼儿,半数以上病例发生于1岁以内。冬、春两季多见。慢性型较少见,占5.1%,多因颈椎结核引起。一般认为成人多见。急性型起病较急,有畏寒、高热、咳嗽、吞咽困难等症状,小儿拒食,吸奶时吐奶或奶汁反流入鼻腔或呛咳不止,说话及哭声含糊不清,如口内含物状,常有呼吸困难,其程度视脓肿大小而定,入睡时有鼾声与喘鸣。患者头常偏向病侧以减少患侧咽壁张力,缓解疼痛,并扩大气道腔隙。如脓肿增大,压迫喉入口,或炎症累及喉部,则呼吸困难加重。严重病例可出现脱水、衰竭等现象。临床常有误诊为急性喉炎、急性咽炎等。一经确诊,应及早切开排脓,取仰卧头低位 ,以免切开后脓液沿咽后壁流入下呼吸道。
红河州第三人民医院耳鼻咽喉-头颈外科为云南省临床重点专科,红河州特色专科,红河州医学会耳鼻咽喉-头颈外科分会主任委员单位,红河州耳鼻咽喉质量控制中心挂靠单位。一直秉承着“医者仁心、治病救人”的思想服务广大人民群众,在当地具有一定的影响力。(文/图 耳鼻咽喉-头颈外科 崔振英、陈妮娜)