



近日,红河州第三人民医院骨科·疼痛科陆洪生主治医师到云南大学附属医院(云南省第二人民医院)脊柱外科进修回来后,在专家指导下,开展微创脊柱内镜下椎间盘摘除手术工作,成功为一例巨大突出伴钙化的椎间盘突出患者实施椎间孔镜下椎间盘摘除术,术后效果满意,腰腿痛症状完全消失,术后3天康复出院。
据悉,患者崔某,男性,42岁,因“反复腰腿痛7年,加重伴活动受限半年”入院。患者自诉6年前因提重物后出现腰部疼痛,活动受限,无双下肢疼痛、麻木不适。反复当地医院中医保守治疗,症状反复发作。一年前患者从事开滴滴车久坐后出现症状明显加重,伴左下肢、疼痛、麻木,活动受限,外院反复保守治疗无效。为求进一步诊治来红河州第三人民医院骨科·疼痛科就诊。
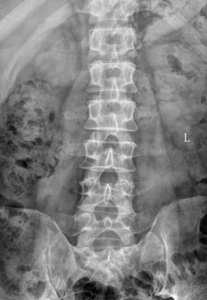
查体:扶拐跛行步态,起坐困难,脊柱轻度代偿性侧弯,腰4/5棘突及椎旁压痛、叩击痛明显,腰部活动受限。腰痛向左侧大腿后侧、小腿后外侧放射致足背,足背麻木感,较对侧感觉减退,踇趾背伸肌力4级,直推抬高实验30°阳性。术前影像:X线见:腰4/5椎间隙变窄,腰椎前凸变小,未见明显腰椎不稳定。

术前CT见:腰4/5椎间盘巨大凸出向后下方,左侧旁中央及侧隐窝狭窄明显,伴腰4、5椎体后缘钙化。

腰椎MRI见:腰4/5椎间盘变性,椎间盘巨大突出,硬膜囊受压明显,左侧椎间孔明显狭窄,左侧神经根受压明显。

向患者及家属交代病情及治疗方案及各种术式特点:1、可选择开放椎间盘摘除、椎间融合内固定术;2、椎间孔镜下椎间盘摘除融合经皮椎弓根钉内固定术;3、单纯椎间孔镜下微创椎间盘摘除术。患者坚决反对开放手术,要求行单纯椎间孔镜下椎间盘摘除手术治疗。
手术经过:术前仔细阅片,精确定位手术靶点部位、规划手术路径、测量通道长度、头尾倾角度。C臂透视定位、局部麻醉、穿刺建立通道、环锯进行关节突成形,连接椎间孔镜系统、椎间盘摘除、神经根管探查减压、侧隐窝减压、彻底检查无卡压后关闭伤口。手术成功,患者术后3天康复出院。
(文/图 陆洪生)

术前定位及切口

术中穿刺及关节突成形

建立工作通道

连接椎间孔镜系统

术中所见突出间盘组织

切除突出间盘:见间盘炎性变伴钙化

神经根管走形清晰显露,无压迫、侧隐窝减压彻底

术中患者左下肢疼痛症状当即消失、术后直腿抬高试验阴性
延伸阅读:椎间孔镜手术适应症
1)各型腰椎间盘突出症(中央型、旁中央型、椎间孔型、极外侧型):压迫神经,导致腰痛、腰腿痛,行走受限,间歇性跛行等。
2)腰椎椎间孔狭窄(骨性侧隐窝狭窄、黄韧带肥厚):中老年腰腿痛患者,椎间孔骨刺或韧带肥厚等原因,形成椎间孔狭窄,导致神经通道受阻。扩大椎间孔可以做到神经减压。
3)腰椎间盘突出症诊断明确,经正规保守治疗3个月无效,反复发作、症状严重者。
4)腰椎间盘中央型突出伴马尾神经受压损伤;
5)术后再发椎间盘突出压迫神经根的翻修、老年椎管狭窄不能耐受全麻手术者。
椎间孔镜下手术较传统手术优势:
1)安全性好,局麻下完成手术,不会有全麻等麻醉风险;
2)手术出血少,仅为5-10ml;
3)创伤小,不破坏椎旁肌、韧带、不影响脊柱稳定;
4)手术时间短,大部分在两小时内完成手术;
5)手术切口小,手术切口长约1.5cm;
6)术后康复快,手术效果好、恢复快、术后很快可以下地活动;
7)住院时间短,一般5-7天,费用相对较少;复发率低,因创伤小术后粘连少,腰背痛症状少。